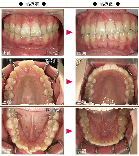
☆歯のデコボコ矯正症例[A.K様 32歳 女性]

治療症例解説
主訴は歯並びの改善で、“悪くない歯を抜きたくない!”というご希望で来院されました。
まずは3か月間、上下ともに内側から歯列弓を広げるクワドヘリックスという装置を入れて、外側には一般的な形状記憶ワイヤーを入れて前歯のデコボコを改善しました。(矯正装置の種類のページを参照ください)
前歯が並んできたらかみ合わせを改善していくためにマルチループワイヤー(MEAWワイヤー)と顎間ゴムを使用して奥歯を後方に動かしていきます。最終仕上げでマウスピースを使用していきます。
上下顎前歯の叢生部分に生じたブラックトライアングルを改善する為に、終盤のマウスピースでの仕上げの際には、歯の隣接面を削って歯の形態を整えることでブラックトライアングルを解消しました。
治療期間はまっすぐの形状記憶のワイヤーが3カ月で、MEAWワイヤーが3カ月で、仕上げのマウスピースが7カ月でトータルで13カ月で治療が終了しました。
治療費は調整費なども含めてトータルで120万円かかりました。
副作用やデメリット
・上額の内側に入っている歯を引っ張っていくと、引っ張られた歯の歯頚部は隣の歯よりも少し内側に位置していますので、多少の段差は残る可能性があります。
☆歯のデコボコ矯正症例[Y・M様 36歳 女性]

治療症例解説
主訴は歯並びの改善で、他の矯正歯科では上下合わせて4本の抜歯が必要と診断をされ、非抜歯で矯正したい且つ短期間で終わらせたいとのご希望で来院されました。
まずは3か月間、上下ともにV字型の歯列弓を内側から広げるクワドヘリックスという装置を入れて、外側には一般的な形状記憶ワイヤーを入れて前歯のデコボコを改善しました。(矯正装置の種類のページを参照ください)
前歯が並んできたらかみ合わせを改善していくためにマルチループワイヤー(MEAWワイヤー)と顎間ゴムを使用して奥歯を後方に動かしていきます。最終仕上げでマウスピースを使用していきます。
上下顎前歯の叢生部分に生じたブラックトライアングルを改善する為に、終盤のマウスピースでの仕上げの際には、歯の隣接面を削って歯の形態を整えることでブラックトライアングルを解消しました。
治療期間はまっすぐの形状記憶のワイヤーが4カ月で、MEAWワイヤーが3カ月で、仕上げのマウスピースが7カ月でトータルで14カ月で治療が終了しました。
治療費は調整費なども含めてトータルで125万円かかりました。
副作用やデメリット
・下顎の内側に入っている歯を引っ張っていくと、引っ張られた歯の両側歯頚部にはブラックトライアングルが残る可能性があります。
☆歯のデコボコ矯正症例[宮地様 30歳 男性]

【主訴】下の歯のでこぼこ
【治療方法】マウスピースで奥歯を後方に動かして、IPRで歯を削るのを併用して歯並びを整えた
【治療期間】マウスピース矯正で10か月
【費用(税込み)】トータル77万円
「治療等の主なリスク、副作用」
前歯だけが気になっていても奥歯から治さないと治療できないこともあります。
☆歯のデコボコ矯正症例[K.O.様 38歳 女性]
![歯のデコボコ矯正症例[K.O.様 38歳 女性]](https://www.bubunkyousei.com/wp-content/uploads/ko38_deko_zentai2.jpg)
「主訴」上下の前歯のデコボコ
「治療方法」ワイヤー矯正で奥歯を外側に広げて、親知らずの方向に移動して、できたスペースを利用してマウスピースで前歯を中に入れました
「治療期間」ワイヤー矯正6か月、マウスピース矯正7カ月 合計13カ月
「費用」121万円
「治療等の主なリスク、副作用」
下顎の前歯のブラックトライアングルの改善のために、下の前歯の隣接面を削りました。
☆歯のデコボコ矯正症例[もりた様 28歳 女性]
「主訴」上下の前歯のデコボコ
「治療方法」ワイヤー矯正で奥歯を外側に広げて、親知らずの方向に移動して、できたスペースを利用してマウスピースで前歯を中に入れました。
「治療期間」ワイヤー矯正5か月、マウスピース矯正5カ月 合計10カ月
「費用」104万5千円
「治療等の主なリスク、副作用」
奥歯を親知らずの方向に動かすために親知らずの抜歯は必須になります。
下の前歯はブラックトライアングルの改善のために歯の隣接面を削ることがあります。
☆歯のデコボコ矯正症例[和田様 39歳 男性]
「主訴」上下の前歯と奥歯のデコボコ
「治療方法」ワイヤー矯正で奥歯を外側に広げて、親知らずの方向に移動して、できたスペースを利用してマウスピースで前歯を中に入れました。
「治療期間」ワイヤー矯正8か月、マウスピース矯正6カ月 合計14カ月
「費用」132万円
「治療等の主なリスク、副作用」
奥歯を親知らずの方向に動かすために親知らずの抜歯は必須になります。
☆歯のデコボコ矯正症例[Y.H様 25歳 女性]
「主訴」上下の前歯のデコボコと出っ歯
「治療方法」ワイヤー矯正で奥歯を外側に広げて、親知らずの方向に移動して、できたスペースを利用してマウスピースで前歯を中に入れました。
「治療期間」ワイヤー矯正7か月、マウスピース矯正6カ月 合計13カ月
「費用」132万円
「治療等の主なリスク、副作用」
奥歯を親知らずの方向に動かすために親知らずの抜歯は必須になります。
下顎の前歯のブラックトライアングルの改善のために、下の前歯の隣接面を削りました。