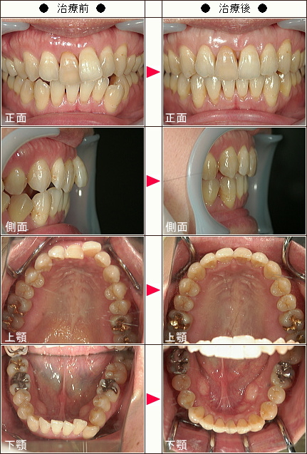
☆歯のデコボコ矯正症例[深野様 54歳 女性]

治療症例解説
主訴は上の歯並びの改善で、子供の頃からいつも笑う時に手で口元を隠すほど歯並びにコンプレックスを抱えていたようです。
まずは3か月間、上下ともにV字型の歯列弓を内側から広げるクワドヘリックスという装置を入れて、外側には一般的な形状記憶ワイヤーを入れて前歯のデコボコを改善しました。(矯正装置の種類のページを参照ください)
前歯が並んできたらかみ合わせを改善していくためにマルチループワイヤー(MEAWワイヤー)と顎間ゴムを使用して奥歯を後方に動かしていきます。最終仕上げでマウスピースを使用していきます。
上下顎前歯の叢生部分に生じたブラックトライアングルを改善する為に終盤のマウスピースの仕上げの際には、歯の隣接面を削って歯の形態を整えることでブラックトライアングルを解消しました。
矯正後に左上犬歯の被せ物のやりかえを行い、より審美性が改善しました。
治療期間はまっすぐの形状記憶のワイヤーが3カ月で、MEAWワイヤーが3カ月で、仕上げのマウスピースが6カ月でトータルで12カ月で治療が終了しました。
治療費は調整費なども含めてトータルで110万円かかりました。
副作用やデメリット
・歯周病の患者様は矯正後に歯が長く感じたり、歯頚部にブラックトライアングルができる可能性があります。
☆歯のデコボコ矯正症例[T・Y様 49歳 男性]

治療症例解説
主訴は頭痛、肩こりなどに悩まされていて、かみ合わせと見た目の改善のご希望で来院されました。
まずは3か月間、上下ともにV字型の歯列弓を内側から広げるクワドヘリックスという装置を入れて、外側には一般的な形状記憶ワイヤーを入れて前歯のデコボコを改善しました。(矯正装置の種類のページを参照ください)
前歯が並んできたらかみ合わせを改善していくためにマルチループワイヤー(MEAWワイヤー)と顎間ゴムを使用して奥歯を後方に動かしていきます。最終仕上げでマウスピースを使用していきます。
上下顎前歯の叢生部分に生じたブラックトライアングルを改善する為に、終盤のマウスピースでの仕上げの際には、歯の隣接面を削って歯の形態を整えることでブラックトライアングルを解消しました。
治療期間はまっすぐの形状記憶のワイヤーが3カ月で、MEAWワイヤーが3カ月で、仕上げのマウスピースが6カ月でトータルで12カ月で治療が終了しました。
治療費は調整費なども含めてトータルで110万円かかりました。
副作用やデメリット
・内側に入っている歯を引っ張っていくと、引っ張られた歯の両側歯頚部にはブラックトライアングルが残る可能性があります。
☆歯のデコボコ矯正症例[トントン様 41歳 女性]
「主訴」前歯のデコボコ、出っ歯
「治療方法」マウスピースで歯列弓を広げてIPRで隣接面を少し削ってスペースを確保して前歯のデコボコを改善した
「治療期間」18か月
「費用」88万円
「治療などの主なリスクや副作用」
マウスピース矯正では歯の隣接面を削ります。
☆歯のデコボコ矯正症例[中島様 42歳 女性]

「主訴」前歯のデコボコ
「治療方法」
ワイヤー矯正で歯列弓を広げたり奥歯を後方に動かして、IPRで前歯の隣接面を少し削ってスペースを確保して引っ込んでいる前歯のデコボコを改善した。
「治療期間」15か月
「費用」143万円
「治療などの主なリスクや副作用」
引っ込んでいる歯を引っ張り出すと、歯の先端は並んでいますが、歯頚部分は軽度の段差が残ります。
☆歯のデコボコ矯正症例[U.M様 43歳 女性]

「主訴」前歯のデコボコ
「治療方法」マウスピースで歯列弓を広げて、前歯の隣接面を少し削ってスペースを確保して前歯のデコボコを改善した
「治療期間」12か月
「費用」77万円
「治療などの主なリスクや副作用」
マウスピース矯正では歯の隣接面を削ることがあります。