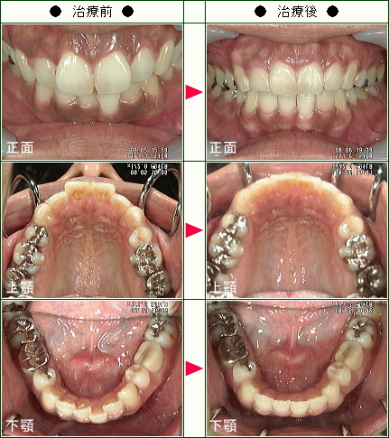
☆デコボコ症例(Peco様 30歳 女性)

治療解説
主訴は上下の前歯のデコボコの改善です。
「短期間で歯並びを改善したい」という希望から部分矯正をご希望され、期間を短縮させるためにきちんとワイヤー装置をつけるコースを選択されました。
まずはワイヤーを使用して上下の前歯のデコボコを改善していきます。
ワイヤーの使用期間は、上顎が約3か月で下顎が4ヵ月です。
上下顎共にデコボコが治ったら、マウスピースで内側に入れていきました。
トータルでの治療期間は7ヵ月で、調整料金を含めたトータルの治療費は56万円です(上顎が27万円で下顎が29万円です。)
前歯だけの部分矯正では、上下とも噛み合わせは変わりませんので、見た目の改善だけの審美治療になります。
部分矯正において、ワイヤーでデコボコを改善するだけだと、矯正前よりも少しだけ前方に出てしまうため、歯の隣接面を少し削ることで前歯の前突感を改善していきます。
下顎の歯は上顎の歯に比べて、削れる歯の量が少ないため、下顎の前歯のデコボコが多い場合には部分矯正だけでは十分治すことができない場合もあります。
副作用やデメリット
・上下とも、でこぼこと出っ歯の改善のため、部分矯正治療では歯の隣接を削る必要があること
☆デコボコ症例(T.K様 33歳 男性)

治療解説
主訴は上下の前歯のデコボコの改善です。
「短期間で歯並びを改善したい」という希望から部分矯正をご希望され、期間を短縮させるためにきちんとワイヤー装置をつけるコースを選択されました。
まずはワイヤーを使用して上下の前歯のデコボコを改善していきます。
ワイヤーの使用期間は、上顎が約3か月で下顎が3ヵ月です。上下顎共にデコボコが治ったら、マウスピースで内側に入れていきました。
トータルでの治療期間は7ヵ月で、調整料金を含めたトータルの治療費は54万円です(上顎が27万円で下顎が27万円です。)
前歯だけの部分矯正では、上下とも噛み合わせは変わりませんので、見た目の改善だけの審美治療になります。
部分矯正において、ワイヤーでデコボコを改善するだけだと、矯正前よりも少しだけ前方に出てしまうため、歯の隣接面を少し削ることで前歯の前突感を改善していきます。
下顎の歯は上顎の歯に比べて、削れる歯の量が少ないため、下顎の前歯のデコボコが多い場合には部分矯正だけでは十分治すことができない場合もあります。
副作用やデメリット
・上下とも、でこぼこと出っ歯の改善のため、部分矯正治療では歯の隣接を削る必要があること
☆デコボコ症例(K.F様 36歳 女性)

治療解説
主訴は上下の前歯のデコボコの改善です。
まずはワイヤーを使用して上下の前歯のデコボコを改善していきます。
ワイヤーの使用期間は、上顎が約3か月で下顎が4ヵ月です。上下顎共にデコボコが治ったら、マウスピースで内側に入れていきました。
トータルでの治療期間は7ヵ月で、調整料金を含めたトータルの治療費は56万円です(上顎が27万円で下顎が29万円です。)
前歯だけの部分矯正では、上下とも噛み合わせは変わりませんので、見た目の改善だけの審美治療になります。
部分矯正において、ワイヤーでデコボコを改善するだけだと、矯正前よりも少しだけ前方に出てしまうため、歯の隣接面を少し削ることで前歯の前突感を改善していきます。
下顎の歯は上顎の歯に比べて、削れる歯の量が少ないため、下顎の前歯のデコボコが多い場合には部分矯正だけでは十分治すことができない場合もあります。
副作用やデメリット
・下顎はでこぼこ改善のため、部分矯正治療では歯の隣接を削る必要があること
☆デコボコ症例(Y・K様 36歳 女性)

治療解説
主訴は上下の前歯のデコボコの改善です。
「短期間で歯並びを改善したい」という希望から部分矯正をご希望され、期間を短縮させるためにきちんとワイヤー装置をつけるコースを選択されました。
まずはワイヤーを使用して上下の前歯のデコボコを改善していきます。
ワイヤーの使用期間は、上顎が約4か月で下顎が4ヵ月です。
上下顎共にデコボコが治ったら、マウスピースで内側に入れていきました。
トータルでの治療期間は8ヵ月で、調整料金を含めたトータルの治療費は56万円です(上顎が27万円で下顎が29万円です。)
前歯だけの部分矯正では、上下とも噛み合わせは変わりませんので、見た目の改善だけの審美治療になります。
部分矯正において、ワイヤーでデコボコを改善するだけだと、矯正前よりも少しだけ前方に出てしまうため、歯の隣接面を少し削ることで前歯の前突感を改善していきます。
下顎の歯は上顎の歯に比べて、削れる歯の量が少ないため、下顎の前歯のデコボコが多い場合には部分矯正だけでは十分治すことができない場合もあります。
副作用やデメリット
・上下とも、でこぼこと出っ歯の改善のため、部分矯正治療では歯の隣接を削る必要があること
・部分矯正では前歯しか動かせないので、奥歯の歯並びは変えれない
☆デコボコ症例(Y.N様 34歳 女性)

治療解説
主訴は上下の前歯のデコボコの改善です。
まずはワイヤーを使用して上下の前歯のデコボコを改善していきます。
ワイヤーの使用期間は、上顎が約4か月で下顎が4ヵ月です。
上下顎共にデコボコが治ったら、マウスピースで内側に入れていきました。
トータルでの治療期間は7ヵ月で、調整料金を含めたトータルの治療費は58万円です(上顎が29万円で下顎が29万円です。)
前歯だけの部分矯正では、上下とも噛み合わせは変わりませんので、見た目の改善だけの審美治療になります。
部分矯正において、ワイヤーでデコボコを改善するだけだと、矯正前よりも少しだけ前方に出てしまうため、歯の隣接面を少し削ることで前歯の前突感を改善していきます。
下顎の歯は上顎の歯に比べて、削れる歯の量が少ないため、下顎の前歯のデコボコが多い場合には部分矯正だけでは十分治すことができない場合もあります。
副作用やデメリット
・上下とも、でこぼこと出っ歯の改善のため、部分矯正治療では歯の隣接を削る必要があること
・特に下顎はでこぼこが重度なので、しみる直前まで削る必要があった
☆デコボコ症例(M・O様 25歳 女性)

治療解説
主訴は上下の前歯のデコボコの改善です。
まずはワイヤーを使用して上下の前歯のデコボコを改善していきます。
ワイヤーの使用期間は、上顎が約3か月で下顎が3ヵ月です。
上下顎共にデコボコが治ったら、マウスピースで内側に入れていきました。
トータルでの治療期間は7ヵ月で、調整料金を含めたトータルの治療費は56万円です(上顎が27万円で下顎が29万円です。)
前歯だけの部分矯正では、上下とも噛み合わせは変わりませんので、見た目の改善だけの審美治療になります。
部分矯正において、ワイヤーでデコボコを改善するだけだと、矯正前よりも少しだけ前方に出てしまうため、歯の隣接面を少し削ることで前歯の前突感を改善していきます。
下顎の歯は上顎の歯に比べて、削れる歯の量が少ないため、下顎の前歯のデコボコが多い場合には部分矯正だけでは十分治すことができない場合もあります。
副作用やデメリット
・上下とも、でこぼこと出っ歯の改善のため、部分矯正治療では歯の隣接を削る必要があること
・特に下顎はでこぼこが重度なので、しみる直前まで削る必要があった
☆デコボコ症例(S・K様 25歳 女性)

治療解説
主訴は上下の前歯のデコボコの改善です。
まずはワイヤーを使用して上下の前歯のデコボコを改善していきます。
ワイヤーの使用期間は、上顎が約4か月で下顎が3ヵ月です。
左上の2番目の歯が逆に噛んでしまっているため、乗り越えるような処置もワイヤー期間で行います。
上下顎共にデコボコが治ったら、マウスピースで内側に入れていきました。
トータルでの治療期間は7ヵ月で、調整料金を含めたトータルの治療費は57万円です(上顎が30万円で下顎が27万円です。)
前歯だけの部分矯正では、上下とも噛み合わせは変わりませんので、見た目の改善だけの審美治療になります。
部分矯正において、ワイヤーでデコボコを改善するだけだと、矯正前よりも少しだけ前方に出てしまうため、歯の隣接面を少し削ることで前歯の前突感を改善していきます。
下顎の歯は上顎の歯に比べて、削れる歯の量が少ないため、下顎の前歯のデコボコが多い場合には部分矯正だけでは十分治すことができない場合もあります。
副作用やデメリット
・上下とも、でこぼこと出っ歯の改善のため、部分矯正治療では歯の隣接を削る必要があること
☆デコボコ症例(ともみ様 25歳 女性)

治療解説
主訴は上下の前歯のデコボコの改善です。
まずはワイヤーを使用して上下の前歯のデコボコを改善していきます。
ワイヤーの使用期間は、上顎が約4か月で下顎が4ヵ月です。
上顎に関しては歯並びの段差を改善した後に、前歯を内側に入れていくこともワイヤーで行い、治療期間をより綺麗な位置へ、治療期間も短縮しています。
上下顎共にデコボコが治ったら、マウスピースで微調整をするように内側に入れていきました。
トータルでの治療期間は7ヵ月で、調整料金を含めたトータルの治療費は58万円です(上顎が29万円で下顎が29万円です。)
前歯だけの部分矯正では、上下とも噛み合わせは変わりませんので、見た目の改善だけの審美治療になります。
部分矯正において、ワイヤーでデコボコを改善するだけだと、矯正前よりも少しだけ前方に出てしまうため、歯の隣接面を少し削ることで前歯の前突感を改善していきます。
下顎の歯は上顎の歯に比べて、削れる歯の量が少ないため、下顎の前歯のデコボコが多い場合には部分矯正だけでは十分治すことができない場合もあります。
副作用やデメリット
・上下とも、でこぼこと出っ歯の改善のため、部分矯正治療では歯の隣接を削る必要があること
・特に下顎はでこぼこが重度なので、しみる直前まで削る必要があった
☆デコボコ症例(市川様 26歳 女性)

治療解説
主訴は上下の前歯のデコボコの改善です。
まずはワイヤーを使用して上下の前歯のデコボコを改善していきます。
ワイヤーの使用期間は、上顎が約3か月で下顎が3ヵ月です。
上下顎共にデコボコが治ったら、マウスピースで内側に入れていきました。
トータルでの治療期間は7ヵ月で、調整料金を含めたトータルの治療費は54万円です(上顎が27万円で下顎が27万円です。)
前歯だけの部分矯正では、上下とも噛み合わせは変わりませんので、見た目の改善だけの審美治療になります。
部分矯正において、ワイヤーでデコボコを改善するだけだと、矯正前よりも少しだけ前方に出てしまうため、歯の隣接面を少し削ることで前歯の前突感を改善していきます。
下顎の歯は上顎の歯に比べて、削れる歯の量が少ないため、下顎の前歯のデコボコが多い場合には部分矯正だけでは十分治すことができない場合もあります。
副作用やデメリット
・上下とも、でこぼこと出っ歯の改善のため、部分矯正治療では歯の隣接を削る必要があること
☆デコボコ症例(S.S様 24歳 女性)

治療解説
主訴は上下の前歯のデコボコの改善です。
まずはワイヤーを使用して上下の前歯のデコボコを改善していきます。
ワイヤーの使用期間は、上顎が約4か月で下顎が3ヵ月です。
右上の2番目の歯は逆に噛んでしまっているため、乗り越える処置もワイヤー期間中に行います。
上下顎共にデコボコが治ったら、マウスピースで内側に入れていきました。
トータルでの治療期間は7ヵ月で、調整料金を含めたトータルの治療費は57万円です(上顎が30で下顎が27万円です。)
前歯だけの部分矯正では、上下とも噛み合わせは変わりませんので、見た目の改善だけの審美治療になります。
部分矯正において、ワイヤーでデコボコを改善するだけだと、矯正前よりも少しだけ前方に出てしまうため、歯の隣接面を少し削ることで前歯の前突感を改善していきます。
下顎の歯は上顎の歯に比べて、削れる歯の量が少ないため、下顎の前歯のデコボコが多い場合には部分矯正だけでは十分治すことができない場合もあります。
副作用やデメリット
・上下とも、でこぼこと出っ歯の改善のため、部分矯正治療では歯の隣接を多めに削る必要があること。
☆歯のデコボコ矯正症例[T.K様 32歳 男性]
「主訴」上下の前歯のデコボコ
「治療方法」ワイヤー矯正ででこぼこを治してマウスピース矯正で内側に入れていった
「治療期間」ワイヤー矯正4か月、マウスピース矯正3か月の合計7カ月
「費用」61万6千円
「治療等の主なリスク、副作用」
下顎の前歯は上顎前歯と当たらないようにするためにIPRは多めになります。
☆歯のデコボコ矯正症例[K.K様 28歳 女性]
「主訴」上下の前歯のデコボコ
「治療方法」マウスピース矯正で治療した
「治療期間」マウスピース矯正で5か月
「費用」33万円
「治療等の主なリスク、副作用」
部分矯正では前歯のIPRは必須になります。
☆歯のデコボコ矯正症例[Merci0607様 28歳 女性]

「主訴」上下の前歯のデコボコ
「治療方法」ワイヤー矯正ででこぼこを治してマウスピース矯正で内側に入れていった
「治療期間」ワイヤー矯正5か月、マウスピース矯正3か月の合計8カ月
「費用」60万5千円
「治療等の主なリスク、副作用」
上顎の2番のように捻じれが大きい部分の矯正ではワイヤー矯正の方が優れています。