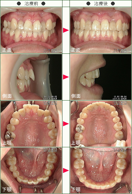
☆歯のデコボコ矯正症例(上下の症例)(M.H.様 19歳 女性)

治療解説
主訴は上下の前歯のデコボコの改善です。
下顎の前歯のデコボコが重度の為、今の歯並びのままでは全体矯正をするか、部分矯正できれいにする場合には、下の前歯を1本抜歯してからのスタートになります。
患者さまは前歯を1本抜歯する方法を選択され、矯正がスタートしました。
まずはワイヤーを使用して上下の前歯のデコボコを改善していきます。
ワイヤーの使用期間は、上下顎とも約3か月です。上下も前歯のデコボコが治ったら、マウスピースで内側に入れていきました。
トータルでの治療期間は約7ヵ月で、調整料金を含めたトータルの治療費は58万円です(上顎が29万円で下顎が29万円です。)
前歯だけの部分矯正では、上下とも噛み合わせは変わりませんので、見た目の改善だけの審美治療になります。
部分矯正において、ワイヤーでデコボコを改善するだけだと、矯正前よりも少しだけ前方に出てしまうため、歯の隣接面を少し削ることで前歯の前突感を改善していきます。
今回のように前歯を1本抜歯した場合、抜歯した箇所の隣接の前歯は、抜歯方向に多少傾斜して並ぶため、抜歯個所のブラックトライアングルは他の個所よりも少し大きくなります。
上顎のデコボコは隣接面を削ることで対応できることがありますが、下顎の叢生の程度が多い場合は、今回のように歯を抜かないと(全体矯正なら抜く必要はありませんが)部分矯正できない場合もあります。
副作用やデメリット
・下の歯並びの凸凹が大きいため、部分矯正治療では1本歯を抜いたこと
・抜歯した箇所はブラックトライアングルという三角形の隙間が残りやすいこと
・上の歯並びを整えるために歯の隣接を削ること
☆歯のデコボコ矯正症例(上下の症例)(A.T様 15歳 女性)

治療解説
主訴は上下の前歯のデコボコの改善です。
まずはワイヤーを使用して上下の前歯のデコボコを改善していきます。
ワイヤーの使用期間は、上顎が約3ヵ月で下顎が4ヵ月です。その後上下顎ともマウスピースを使用し、歯並びの微調整を行っています。
トータルでの治療期間は7ヵ月で、調整料金を含めたトータルの治療費は58万円です(上顎が29万円で下顎が29万円です。)
前歯だけの部分矯正では、上下とも噛み合わせは変わりませんので、見た目の改善だけの審美治療になります。
部分矯正において、ワイヤーでデコボコを改善するだけだと、矯正前よりも少しだけ前方に出てしまうため、この患者様は下顎に関しては削らないと歯が並ぶスペースが確保できないため、歯の隣接面を少し削ることで前歯の前突感を改善していきます。
下顎の歯は上顎の歯に比べて、削れる歯の量が少ないため、下顎の前歯のデコボコが多い場合には部分矯正だけでは十分治すことができない場合もあります。
副作用やデメリット
・下の歯並びの凸凹が大きいため、部分矯正治療では歯の隣接を削る必要があること
☆歯のデコボコ矯正症例(上下の症例)(19歳 女性)

治療解説
主訴は上下の前歯のデコボコの改善です。
まずはワイヤーを使用して上下の前歯のデコボコを改善していきます。
ワイヤーの使用期間は、上顎が約4か月で下顎が3ヵ月です。下顎はマウスピースを3か月使用して歯並びを整え内側に傾斜して治療していきました。上顎もデコボコが治ったら、マウスピースで内側に入れていきました。
トータルでの治療期間は7ヵ月で、調整料金を含めたトータルの治療費は56万円です(上顎が29万円で下顎が27万円です。)
前歯だけの部分矯正では、上下とも噛み合わせは変わりませんので、見た目の改善だけの審美治療になります。
部分矯正において、ワイヤーでデコボコを改善するだけだと、矯正前よりも少しだけ前方に出てしまうため、歯の隣接面を少し削ることで前歯の前突感を改善していきます。
副作用やデメリット
・上の歯並びの凸凹が大きいため、部分矯正治療では歯の隣接を削る必要があること
☆歯のデコボコ矯正症例(上下の症例)(R.O様 19歳 女性)

治療解説
主訴は上下の前歯のデコボコの改善です。
この患者様にとって治療の第一優先は「歯を抜かない」ということでした。
他院様では「歯を抜かないと治療ができない」と言われていたのがずっと治療を躊躇していた理由であり、ご本人様も歯を抜くことへの抵抗が強かったため歯並びを拝見し、歯を削る量が問題のない範囲であるため部分矯正を開始しました。
まずはワイヤーを使用して上下の前歯のデコボコを改善していきます。
ワイヤーの使用期間は、上顎が約4か月で下顎が3ヵ月です。
下顎の方がデコボコの量が少ないため、早めにマウスピースに移行でき、マウスピースを3か月使用して歯並びを整え内側に傾斜して治療していきました。
上顎もデコボコが治った段階でマウスピースで内側に入れていきました。
トータルでの治療期間は7ヵ月で、調整料金を含めたトータルの治療費は56万円です(上顎が29万円で下顎が27万円です。)
前歯だけの部分矯正では、上下とも噛み合わせは変わりませんので、見た目の改善だけの審美治療になります。
部分矯正において、ワイヤーでデコボコを改善するだけだと、矯正前よりも少しだけ前方に出てしまうため、歯の隣接面を少し削ることで前歯の前突感を改善していきます。
下顎の歯は上顎の歯に比べて、削れる歯の量が少ないため、下顎の前歯のデコボコが多い場合には部分矯正だけでは十分治すことができない場合もあります。
副作用やデメリット
・上下とも、でこぼこと出っ歯の改善のため、部分矯正治療では歯の隣接を削る必要があること
☆歯のデコボコ矯正症例(上下の症例)(K.O様 19歳 男性)

治療解説
主訴は上下の前歯のデコボコの改善です。
まずはワイヤーを使用して上下の前歯のデコボコを改善していきます。
ワイヤーの使用期間は、上顎が約3か月で下顎が4ヵ月です。
デコボコが治ったら上下顎ともにマウスピースで3か月程、前歯を中へ入れていきます。
トータルでの治療期間は7ヵ月で、調整料金を含めたトータルの治療費は56万円です(上顎が27万円で下顎が29万円です。)
前歯だけの部分矯正では、上下とも噛み合わせは変わりませんので、見た目の改善だけの審美治療になります。
部分矯正において、ワイヤーでデコボコを改善するだけだと、矯正前よりも少しだけ前方に出てしまうため、歯の隣接面を少し削ることで前歯の前突感を改善していきます。
下顎の歯は上顎の歯に比べて、削れる歯の量が少ないため、下顎の前歯のデコボコが多い場合には部分矯正だけでは十分治すことができない場合もあります。
副作用やデメリット
・上下とも、でこぼこと出っ歯の改善のため、部分矯正治療では歯の隣接を削る必要があること
・特に下顎はでこぼこが重度なのでしみる直前まで削る必要があった
☆歯のデコボコ矯正症例(上下の症例)(めぐみ様 19歳 女性)

治療解説
主訴は上下の前歯のデコボコの改善です。
まずはワイヤーを使用して上下の前歯のデコボコを改善していきます。
ワイヤーの使用期間は、上顎が約3か月で下顎が3ヵ月です。
上下顎共にデコボコが治ったら、マウスピースで内側に入れていきました。
トータルでの治療期間は7ヵ月で、調整料金を含めたトータルの治療費は54万円です(上顎が27万円で下顎が27万円です。)
前歯だけの部分矯正では、上下とも噛み合わせは変わりませんので、見た目の改善だけの審美治療になります。
部分矯正において、ワイヤーでデコボコを改善するだけだと、矯正前よりも少しだけ前方に出てしまうため、歯の隣接面を少し削ることで前歯の前突感を改善していきます。
下顎の歯は上顎の歯に比べて、削れる歯の量が少ないため、下顎の前歯のデコボコが多い場合には部分矯正だけでは十分治すことができない場合もあります。
副作用やデメリット
・上下とも、でこぼこと出っ歯の改善のため、部分矯正治療では歯の隣接を削る必要があること
☆歯のデコボコ矯正症例(上下の症例)(T.M様 16歳 女性)

治療解説
主訴は上下の前歯のデコボコの改善です。
まずはワイヤーを使用して上下の前歯のデコボコを改善していきます。
ワイヤーの使用期間は、上顎が約3か月で下顎が3ヵ月です。
上下顎共にデコボコが治ったら、マウスピースで内側に入れていきました。
トータルでの治療期間は7ヵ月で、調整料金を含めたトータルの治療費は54万円です(上顎が27万円で下顎が27万円です。)
前歯だけの部分矯正では、上下とも噛み合わせは変わりませんので、見た目の改善だけの審美治療になります。
部分矯正において、ワイヤーでデコボコを改善するだけだと、矯正前よりも少しだけ前方に出てしまうため、歯の隣接面を少し削ることで前歯の前突感を改善していきます。
下顎の歯は上顎の歯に比べて、削れる歯の量が少ないため、下顎の前歯のデコボコが多い場合には部分矯正だけでは十分治すことができない場合もあります。
副作用やデメリット
・上下とも、でこぼこと出っ歯の改善のため、部分矯正治療では歯の隣接を削る必要があること
☆歯のデコボコ矯正症例(上下の症例)(阿部様 18歳 女性)

治療解説
主訴は上下の前歯のデコボコの改善です。
まずはワイヤーを使用して上下の前歯のデコボコを改善していきます。
ワイヤーの使用期間は、上顎が約3か月で下顎が4ヵ月です。
上下顎共にデコボコが治ったら、マウスピースで内側に入れていきました。
トータルでの治療期間は7ヵ月で、調整料金を含めたトータルの治療費は56万円です(上顎が27万円で下顎が29万円です。)
前歯だけの部分矯正では、上下とも噛み合わせは変わりませんので、見た目の改善だけの審美治療になります。
部分矯正において、ワイヤーでデコボコを改善するだけだと、矯正前よりも少しだけ前方に出てしまうため、歯の隣接面を少し削ることで前歯の前突感を改善していきます。
下顎の歯は上顎の歯に比べて、削れる歯の量が少ないため、下顎の前歯のデコボコが多い場合には部分矯正だけでは十分治すことができない場合もあります。
副作用やデメリット
・上下とも、でこぼこと出っ歯の改善のため、部分矯正治療では歯の隣接を削る必要があること
・特に下顎はでこぼこが重度なのでしみる直前まで削る必要があった
☆歯のデコボコ矯正症例(上下の症例)(もちだ様 16歳 女性)

治療解説
主訴は上下の前歯のデコボコの改善です。
まずはワイヤーを使用して上下の前歯のデコボコを改善していきます。
ワイヤーの使用期間は、上顎が約2か月で下顎が2ヵ月です。
上下顎共にデコボコが治ったら、マウスピースで3か月内側に入れていきました。
トータルでの治療期間は5ヵ月で、調整料金を含めたトータルの治療費は50万円です(上顎が25万円で下顎が25万円です。)
この方はデコボコの量がとても軽度であったため、治療期間が短く終了しています。
前歯だけの部分矯正では、上下とも噛み合わせは変わりませんので、見た目の改善だけの審美治療になります。
部分矯正において、ワイヤーでデコボコを改善するだけだと、矯正前よりも少しだけ前方に出てしまうため、歯の隣接面を少し削ることで前歯の前突感を改善していきます。
下顎の歯は上顎の歯に比べて、削れる歯の量が少ないため、下顎の前歯のデコボコが多い場合には部分矯正だけでは十分治すことができない場合もあります。
副作用やデメリット
・上下とも、でこぼこと出っ歯の改善のため、部分矯正治療では歯の隣接を削る必要があること