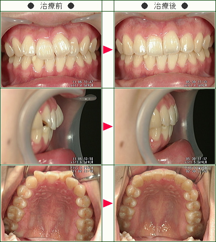
☆歯のデコボコ矯正症例[ちひろ様 15歳 女性]

「主訴」上の前歯の段差が気になる
「治療方法」マウスピース矯正
「治療期間」5か月
「費用」27万5千円
「治療等の主なリスク、副作用」
部分矯正では歯を中に入れる際はIPRが必要です。
☆歯のデコボコ矯正症例[H・M様 17歳 女性]

「主訴」上の前歯の段差が気になる
「治療方法」ワイヤー矯正とマウスピース矯正
「治療期間」ワイヤー矯正3か月、マウスピース矯正3か月で合計6か月
「費用」29万7千円
「治療等の主なリスク、副作用」
部分矯正では歯を中に入れる際はIPRが必要です。
☆歯のデコボコ矯正症例[H・I様 17歳 女性]

「主訴」上の前歯の段差が気になる
「治療方法」マウスピース矯正
「治療期間」5か月
「費用」33万
「治療等の主なリスク、副作用」
部分矯正では歯を中に入れる際はIPRが必要です。
☆歯のデコボコ矯正症例[I.N.様 18歳 女性]

「主訴」上の前歯のでこぼこが気になる
「治療方法」ワイヤー矯正とマウスピース矯正
「治療期間」ワイヤー矯正3か月、マウスピース矯正3か月で合計6か月
「費用」29万7千円
「治療等の主なリスク、副作用」
部分矯正では歯を中に入れる際はIPRが必要です。
☆歯のデコボコ矯正症例[H.O様 19歳 女性]

「主訴」上の前歯のでこぼこが気になる
「治療方法」マウスピース矯正
「治療期間」7か月
「費用」33万
「治療等の主なリスク、副作用」
部分矯正では犬歯の捻転は完全には治りません。
☆歯のデコボコ矯正症例[M・Y様 18歳 女性]
「主訴」前歯のデコボコ
「治療方法」ワイヤー矯正とマウスピース矯正
「治療期間」ワイヤー矯正3か月とマウスピース矯正3か月
「費用」29万7千円
「治療等の主なリスク、副作用」
部分矯正治療では前歯を中に入れる際には歯の隣接面を削るIPRが必要です。
☆歯のデコボコ矯正症例[T.H様 19歳 男性]
「主訴」前歯のデコボコ
「治療方法」マウスピース矯正
「治療期間」マウスピース矯正6か月
「費用」33万円
「治療等の主なリスク、副作用」
部分矯正治療では前歯を中に入れる際には歯の隣接面を削るIPRが必要です。