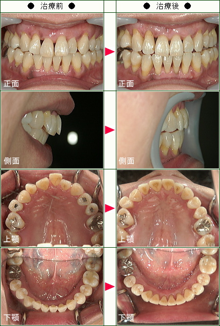
☆歯のデコボコ矯正症例[M.O様 41歳 女性]
「主訴」上の前歯のデコボコ
「治療方法」マウスピース矯正
「治療期間」6か月
「費用」33万円
「治療等の主なリスク、副作用」
部分矯正ではIPRが必要な場合があります。
☆歯のデコボコ矯正症例[S.T様 48歳 女性]

「主訴」上の前歯のデコボコ
「治療方法」マウスピース矯正
「治療期間」6か月
「費用」33万円
「治療等の主なリスク、副作用」
歯周病の方は矯正後にブラックトライアングルが残ります。
☆歯のデコボコ矯正症例[K・K様 40歳 男性]

「主訴」前歯のデコボコ
「治療方法」ワイヤー矯正とマウスピース矯正
「治療期間」ワイヤー矯正4か月とマウスピース矯正3か月の合計7か月
「費用」33万円
「治療等の主なリスク、副作用」
部分矯正治療では前歯を中に入れる際には歯の隣接面を削るIPRが必要です。
☆歯のデコボコ矯正症例[T.K様 47歳 女性]
「主訴」前歯のデコボコ
「治療方法」マウスピース矯正
「治療期間」マウスピース矯正7か月
「費用」44万円
「治療等の主なリスク、副作用」
部分矯正治療では前歯を中に入れる際には歯の隣接面を削るIPRが必要です。
☆歯のデコボコ矯正症例[安田様 44歳 男性]
「主訴」前歯のデコボコ
「治療方法」ワイヤー矯正とマウスピース矯正
「治療期間」ワイヤー矯正5か月とマウスピース矯正3か月の合計8か月
「費用」33万円
「治療等の主なリスク、副作用」
部分矯正治療では前歯を中に入れる際には歯の隣接面を削るIPRが必要です。
☆歯のデコボコ矯正症例[Y.H様 50代 女性]
「主訴」前歯のデコボコ
「治療方法」ワイヤー矯正とマウスピース矯正
「治療期間」ワイヤー矯正5か月とマウスピース矯正3か月の合計8か月
「費用」33万円
「治療等の主なリスク、副作用」
部分矯正治療では前歯を中に入れる際には歯の隣接面を削るIPRが必要です。
☆歯のデコボコ矯正症例[H・I様 47歳 女性]
「主訴」前歯のデコボコ
「治療方法」マウスピース矯正
「治療期間」マウスピース矯正7か月
「費用」44万円
「治療等の主なリスク、副作用」
部分矯正治療では前歯を中に入れる際には歯の隣接面を削るIPRが必要です。
☆歯のデコボコ矯正症例[高野様 41歳 女性]
「主訴」前歯のデコボコ
「治療方法」マウスピース矯正
「治療期間」マウスピース矯正7か月
「費用」44万円
「治療等の主なリスク、副作用」
部分矯正治療では前歯を中に入れる際には歯の隣接面を削るIPRが必要です。
☆歯のデコボコ矯正症例[S・N様 45歳 男性]
「主訴」前歯のデコボコ
「治療方法」マウスピース矯正
「治療期間」マウスピース矯正5か月
「費用」33万円
「治療等の主なリスク、副作用」
部分矯正治療では前歯を中に入れる際には歯の隣接面を削るIPRが必要です。
☆歯のデコボコ矯正症例[N.Y様 46歳 女性]
「主訴」前歯のデコボコ
「治療方法」マウスピース矯正
「治療期間」マウスピース矯正4か月
「費用」27万5千円
「治療等の主なリスク、副作用」
部分矯正治療では前歯を中に入れる際には歯の隣接面を削るIPRが必要です。
☆歯のデコボコ矯正症例[M.K様 40歳 女性]
「主訴」前歯のデコボコ
「治療方法」マウスピース矯正
「治療期間」マウスピース矯正4か月
「費用」27万5千円
「治療等の主なリスク、副作用」
部分矯正治療では前歯を中に入れる際には歯の隣接面を削るIPRが必要です。
☆歯のデコボコ矯正症例[S.T様 41歳 女性]
「主訴」前歯のデコボコ
「治療方法」マウスピース矯正
「治療期間」マウスピース矯正6か月
「費用」33万円
「治療等の主なリスク、副作用」
部分矯正治療では前歯を中に入れる際には歯の隣接面を削るIPRが必要です。
歯周病の方は矯正後にブラックトライアングルが残る可能性があります。
☆歯のデコボコ矯正症例[E.T様 46歳 女性]
「主訴」前歯のデコボコ
「治療方法」マウスピース矯正
「治療期間」マウスピース矯正6か月
「費用」33万円
「治療等の主なリスク、副作用」
部分矯正治療では前歯を中に入れる際には歯の隣接面を削るIPRが必要です。